Les facettes sont de minces coquilles qui couvrent le devant des dents.
Elles sont utilisées pour restaurer les dents tachées, décolorées, déformées ou légèrement détériorées par l’usure.
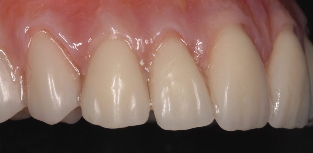
FACETTES RÉALISATION 01
Facettes réalisées sur les dents 12 – 11 – 21 – 22 en Emax (ivoclar)




